トップへ
ウエダ歯科
沼津の歯医者さん。だいじな歯、白く輝いていたい。
ホーム
診療方針
インプラント
審美歯科
矯正歯科
小児歯科
予防歯科
お問い合わせ
ホーム
>
院長ブログ
>
矯正に新しい流れ
矯正に新しい流れ
2017年5月22日
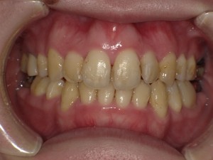
通常では難しい症例である開口の患者様もインビザラインできれいに治すことができました。一切針金はなしですので ほかの方に気づかれませんでした